top of page
Case 1
Clinical Stem:
​
Patient: 55-year-old male presents to ED
-
3 month history of:
-
Hemoptysis
-
Progressive dyspnea
-
History of smoking of 30 pack years
-
PA View

Case courtesy of Emma Gevorgyan – Radiopaedia.org. From the case rID: 1022
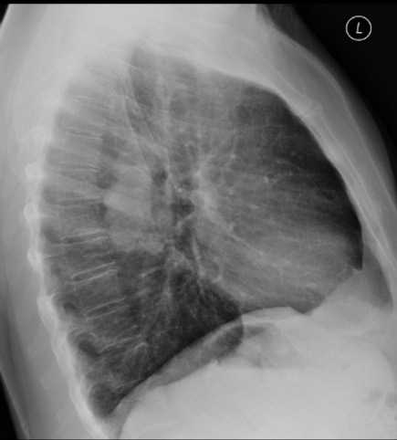
Lateral View

Case courtesy of Emma Gevorgyan – Radiopaedia.org. From the case rID: 1022
Case 1 Diagnosis
Left Lower Lobe Lung Cancer
-
Lobulated soft tissue mass lesion is noted posterior to the left hilum on imaging
-
Concurs with chronicity and symptoms in clinical history.
Recommendations
-
CT chest and FDG PET-CT scans as staging investigations
-
IM / Oncology consultation
bottom of page
